Case 89

From Echopedia
Jump to navigation Jump to search
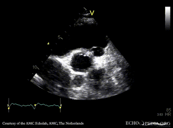
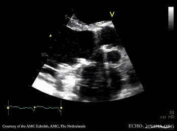
Abscess of aortic valve prosthesis
Courtesy of: AMC Echolab, AMC, The Netherlands
E00498.gif E00499.gif
PLAX: Abscess of aortic valve prosthesis PLAX with Color Doppler
Magnifier.pngenlarge

Ppt logo.pngdownload file to use in your powerpoint presentation

Magnifier.pngenlarge

Ppt logo.pngdownload file to use in your powerpoint presentation

E00500.gif E00501.gif
PSAX: mechanical aortic valve prosthesis, abscess cavity PSAX with Color Doppler
Magnifier.pngenlarge

Ppt logo.pngdownload file to use in your powerpoint presentation

Magnifier.pngenlarge

Ppt logo.pngdownload file to use in your powerpoint presentation