Case 90

From Echopedia
Jump to navigation Jump to search
HOCM with SAM
Courtesy of: AMC Echolab, AMC, The Netherlands
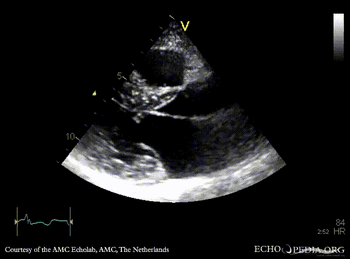
E00502.gif E00503.gif
PLAX: concentric hypertrophy of left ventricle, SAM of AMVL PLAX with Color Doppler: high velocity turbulent flow in LVOT
Magnifier.pngenlarge

Ppt logo.pngdownload file to use in your powerpoint presentation

Magnifier.pngenlarge

Ppt logo.pngdownload file to use in your powerpoint presentation

E00504.gif E00505.gif
A4CH: concentric hypertrophy of left ventricle, SAM of AMVL A3CH
Magnifier.pngenlarge

Ppt logo.pngdownload file to use in your powerpoint presentation

Magnifier.pngenlarge

Ppt logo.pngdownload file to use in your powerpoint presentation

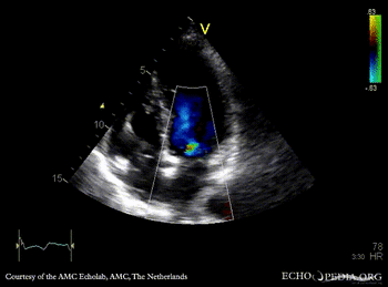
E00506.gif E00507.gif
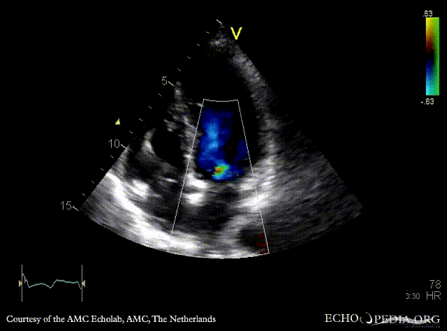
A3CH with Color Doppler: high velocity turbulent flow in LVOT A4CH with Color Doppler: high velocity turbulent flow in LVOT and in the middle of left ventricle
Magnifier.pngenlarge

Ppt logo.pngdownload file to use in your powerpoint presentation

Magnifier.pngenlarge

Ppt logo.pngdownload file to use in your powerpoint presentation

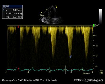
E00508.jpg
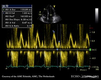
E00509.jpg
Continuous-wave doppler signal: dynamic gradient in LVOT Pulsed-wave doppler signal of transmitral flow
E00510.jpg
Continuous-wave doppler signal: dynamic gradient in the middle of left ventricle