Case 91

From Echopedia
Jump to navigation Jump to search
HOCM with SAM
Courtesy of: AMC Echolab, AMC, The Netherlands
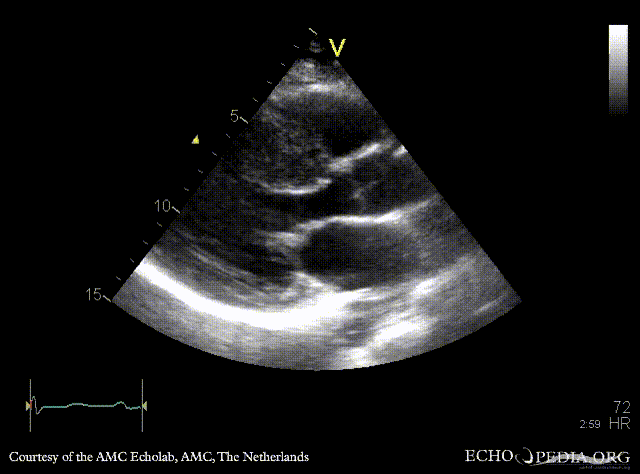
E00511.gif E00512.gif
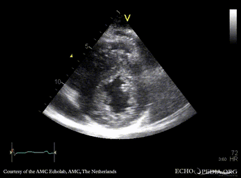
PLAX: severe concentric hypertrophy of left ventricle, SAM of AMVL PLAX zoom: SAM of AMVL
Magnifier.pngenlarge

Ppt logo.pngdownload file to use in your powerpoint presentation

Magnifier.pngenlarge

Ppt logo.pngdownload file to use in your powerpoint presentation

E00513.gif E00514.gif
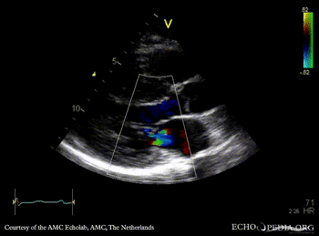
PSAX: severe concentric hypertrophy of left ventricle PLAX with Color Doppler: high velocity turbulent flow in LVOT, moderate mitral regurgitation
Magnifier.pngenlarge

Ppt logo.pngdownload file to use in your powerpoint presentation

Magnifier.pngenlarge

Ppt logo.pngdownload file to use in your powerpoint presentation

E00515.gif E00516.gif
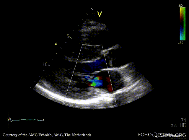
A4CH: systolic obliteration of left ventricle, SAM of AMVL A4CH with Color Doppler: high velocity turbulent flow in LVOT and in the middle of left ventricle
Magnifier.pngenlarge

Ppt logo.pngdownload file to use in your powerpoint presentation

Magnifier.pngenlarge

Ppt logo.pngdownload file to use in your powerpoint presentation

E00517.jpg
Continuous-wave doppler signal: dynamic gradient in LVOT