Case 93

From Echopedia
Jump to navigation Jump to search
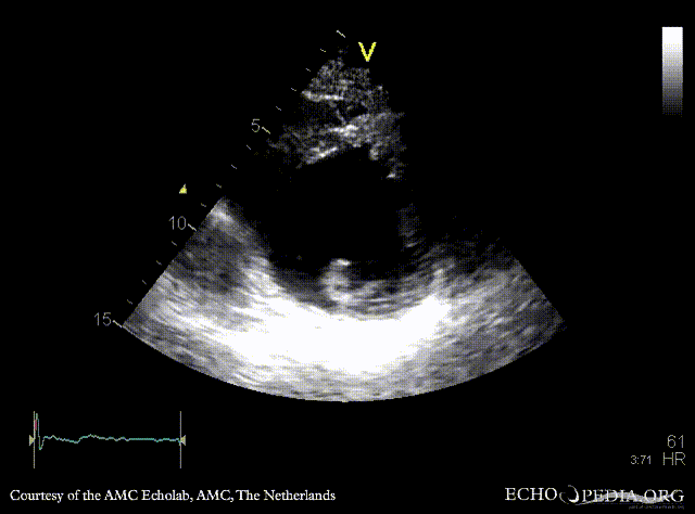
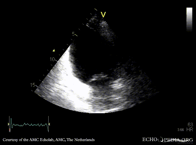
Infarction of posterior and inferior wall
Courtesy of: AMC Echolab, AMC, The Netherlands
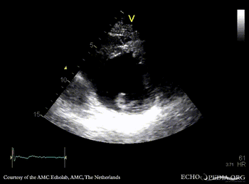
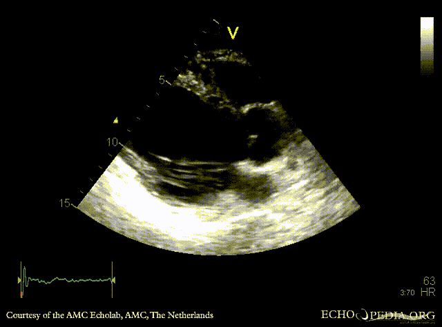
E00524.gif E00525.gif
PLAX: dilated left ventricle, akinesia of posterior wall PSAX: akinesia of posterior and inferior wall
Magnifier.pngenlarge

Ppt logo.pngdownload file to use in your powerpoint presentation

Magnifier.pngenlarge

Ppt logo.pngdownload file to use in your powerpoint presentation

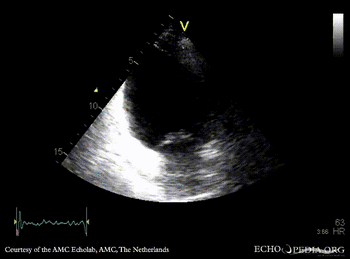
E00526.gif E00527.gif
A4CH: akinesia of inferoseptal wall A2CH: akinesia of inferior wall
Magnifier.pngenlarge

Ppt logo.pngdownload file to use in your powerpoint presentation

Magnifier.pngenlarge

Ppt logo.pngdownload file to use in your powerpoint presentation

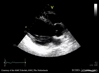
E00528.gif
A3CH: akinesia of posterior wall
Magnifier.pngenlarge

Ppt logo.pngdownload file to use in your powerpoint presentation