Case 98
Jump to navigation
Jump to search
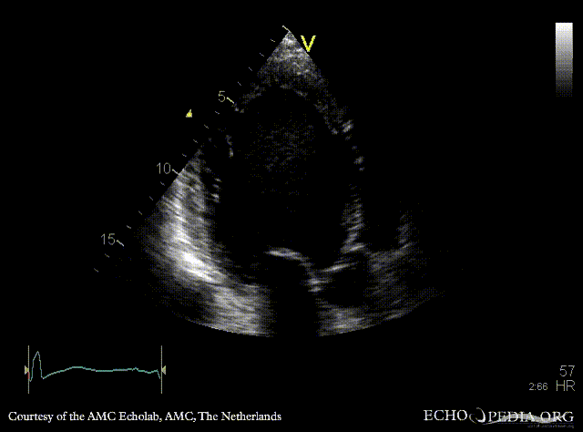
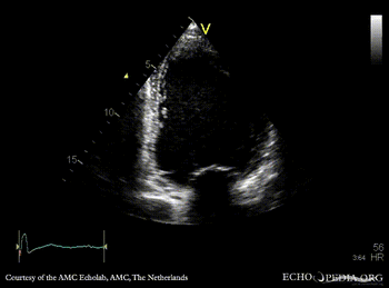
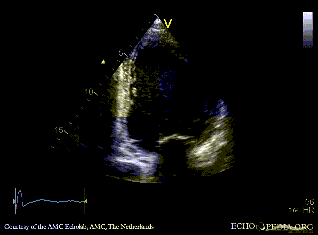
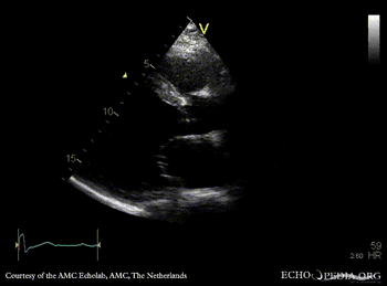
| Courtesy of: AMC Echolab, AMC, The Netherlands | |
| PLAX: Dilated left ventricle with poor function | A4CH |
| A2CH | A3CH |